Cases

We offer top quality treatments from all fields of dentistry. Using the best equipment and materials our staff is ready to give you the healthy and beautiful smile you desire!

  VENEERS & CROWNS

Most of the work our laboratory does is made by CAD-CAM (digital fabrication). For our prosthesis we use Amann Girrbach® Ceramill Zirconia, one of the best in the market today, also we use top of the line laboratory equipment and software for the best results possible.

Having a in-house laboratory is very good thing for the patients, less waiting times for most of the work because our priority is always our own clinic, reduced prices for the patient and just 1 team doing everything that way the is no miscommunication between dentist and technician.

 

ALL-ON-4®

The All-on-4 treatment is one of the most effective oral surgeries in use today. Multiple studies have found a patient success rate of roughly 94 percent after 10 years, with the prosthesis’ survival rate a whopping 98.8 percent after 18 years!

For the final product our dental laboratory team will design the prosthesis according to the desires of the patient (color, shape and size of the teeth), we always give the patient a recommendation according to their facial characteriztics. Before the final prosthesis our patients need to use a temporal made of polymethyl methacrylate (PMMA) which they will use for a week or two, in that time period they can tell us about any discomfort on the design that way we can make the changes for the final product on Zirconia.

 

Before & After

Patient had most of her front teeth missing and was wearing a partial denture, we went for a 7 unit Zirconia bridge supported by 3 implants.

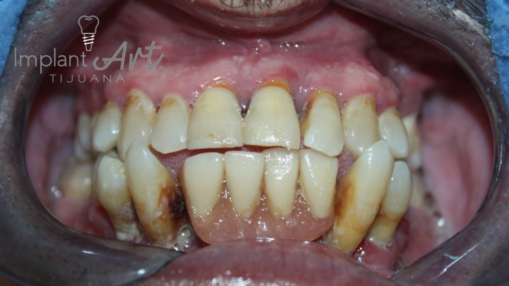
This patient suffered from a real bad case of bruxism, most of his mollars were missing and front teeth were in real bad shape, in order to fix this mans smile, root canals with Zirconia crowns and gingival recontouring was needed, everything done in less than 2 days by request from the patient.